奉天新闻

热烈祝贺大连市瓦房店市方女士成功加盟甲冉生品牌连锁 热烈祝贺大连市瓦房店市方女士成功加盟甲冉生品牌连锁
2025年9月5日,大连市瓦房店市的方芳女士,来到奉天集团甲冉生总部(郑州),经过对甲冉生品牌的全面了解,并在学习了手足指甲、皮肤知识,手足修护技术和产品功效,甲冉生品牌连锁经营理念,企业文化后,成功加盟甲...
查看全文
“甲冉生”品牌15周年庆典在沈阳成功举办 “甲冉生”品牌15周年庆典在沈阳成功举办
2024年12月18日,奉天集团在沈阳隆重举办“甲冉生”品牌15周年庆典。奉天集团董事长、甲冉生品牌创始人于红,甲冉生品牌连锁全国大区总监、连锁门店负责人、集团总部全体人员近180人参加本次庆典盛会。上午8点,在喜...
查看全文
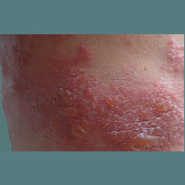
夏天,要当心几个行为可招致“疣”、刺瘊传染增多 夏天,要当心几个行为可招致“疣”、刺瘊传染增多
炎炎夏季,是皮肤容易出现多种问题的一个高发时期。除了脚气(足癣)、湿疹以外,还有一种容易被人们忽视,它就是也具有传染性的--疣。“疣”或“寻常疣”,在民间叫做刺瘊、瘊子。可以长在在躯干、四肢等部位,最常...
查看全文
恭贺奉天集团董事长于红荣获新时代非物质文化遗产守护人等荣誉 恭贺奉天集团董事长于红荣获新时代非物质文化遗产守护人等荣誉
恭贺奉天集团董事长于红荣获新时代非物质文化遗产记录工程、新时代优秀传统文化传承发展工程:新时代非遗文化传播大使、新时代非遗文化守护人、“甲冉生”中医药制剂传承人、颈肩腰腿疼苗技养生技艺传承人、皮肤病中...
查看全文
奉天集团甲冉生全国连锁精英特训营圆满举办 奉天集团甲冉生全国连锁精英特训营圆满举办
2025年6月10日--12日,奉天集团甲冉生全国连锁第一期精英特训营,在郑州举办,来自河南、河北、湖南省的甲冉生加盟商参加。
查看全文
冬季容易纠缠人的皮肤问题有哪些 冬季容易纠缠人的皮肤问题有哪些
在冬季,受到干冷气候的影响,有的还可能感染了细菌、病毒等,导致皮肤出现问题。那么,很容易纠缠人们的皮肤问题,有哪些呢?按照发生率较高的来说,一是手脚干裂皲裂,二是皮肤疱疹。 手脚干裂,主要原因就是冬季低...
查看全文
为什么很多人认为甲冉生的加盟商都是最优秀的医师? 为什么很多人认为甲冉生的加盟商都是最优秀的医师?
奉天(河南)健康管理集团 甲冉生全国连锁,采用精品化、标准化、人性化的品牌经营策略,全力打造信誉卓著、管理先进、服务领先的具有国际竞争力的现代化经营模式。在发掘民族医药宝库的基础上,利用现代生物技术,汲...
查看全文
热烈祝贺兰州市郝女士成功签约加盟甲冉生连锁 热烈祝贺兰州市郝女士成功签约加盟甲冉生连锁
2026年3月20日,兰州市的郝梓君女士,来到奉天集团甲冉生总部(郑州)商谈加盟甲冉生全国连锁事宜。奉天集团董事长于红向郝女士介绍了甲冉生品牌的发展历程、品牌经营模式以及企业文化等。随后,开始学习手足指甲问题...
查看全文
春天万物生长,灰指甲真菌“蠢蠢欲动”,指甲这些表现要警惕 春天万物生长,灰指甲真菌“蠢蠢欲动”,指甲这些表现要警惕
春天气温回升,万物复苏生长,一些微生物(细菌、真菌)开始蠢蠢欲动。尤其是在温暖、潮湿的春季气候或者环境中,真菌开始变得活跃,如果有真菌感染到脚趾的甲板和甲下,或者之前就有灰趾甲,那么活跃的真菌会逐步危...
查看全文
皮肤上没出现皮疹,却阵发性剧烈瘙痒,越抓越痒,引发扁平丘疹,怎么回事? 皮肤上没出现皮疹,却阵发性剧烈瘙痒,越抓越痒,引发扁平丘疹,怎么回事?
皮肤上的问题,一般都会出现瘙痒、红斑、丘疹,甚至起水疱的情况。但有一个比较特殊:一开始没有明显皮疹,却出现阵发性剧烈瘙痒,越抓挠越痒,并且在反复抓挠或者摩擦后,导致皮肤逐渐出现粟粒大小,甚至绿豆大小的...
查看全文
刺瘊(疣)因生长部位不同表现各异,并不只是菜花状凸起 刺瘊(疣)因生长部位不同表现各异,并不只是菜花状凸起
在人们的皮肤上,比如脸上、手上出现凸起的菜花状的赘生物,都知道是长了刺瘊、瘊子。而如果足底长了刺瘊,由于它们的形态表现可能是稍微凸起的硬结或丘疹,所以容易被忽视或者误判。刺瘊、瘊子是民间的俗称,它的学...
查看全文
灰指甲形成的“路径”是怎样的? 灰指甲形成的“路径”是怎样的?
在当今时代,如果手上或者脚上长了灰指(趾)甲,人们都会说是传染形成的。其实,这个说法过于简单!规范的来讲,正常的指甲能长成灰指甲,它的“路径”也不是传染那么简单的!那么,灰指甲形成的“路径”真相,是什...
查看全文

在线客服

  400电话:400-0099-878

 邮箱:750694668@qq.com